Our partners include Roche, FDA, and others.
Arrive is working with the FDA to establish standards for A.I. algorithms in pathology. Read the HTT pilot study paper.
Arrive Head of Biology Andrew Brack speaks at National Academy of Medicine meeting on Healthy Longevity.
Arrive Head of Biology Andrew Brack will speak at American Aging Association.
Evan Szu speaks at the Singapore Academy of Sciences.
Traditional target discovery in pharma starts with in-vitro assays. While this approach works for some applications, it does not capture the interactions of age-related diseases. This has limited the success rates of therapeutics for complex diseases.
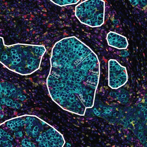
Arrive has developed a unique system to make in vivo target screening feasible. By combining machine learning, bioinformatics, and a proprietary knowledge database we make in vivo target discovery possible.
The liver is a major driver of regulating the body’s metabolism, ensuring homeostatic energy balance and regulating immune and even brain activity. Approximately 1 in 4 adults globally have fatty liver disease (NAFLD) with increasing prevalence with age. While ageing reduces the liver’s regenerative capacity, this can be resolved through lifestyle choices.¹
Muscle strength decreases on average of 10% per decade after age 40. Loss of or reduced mobility with age contributes to nearly 3 million fall injuries among the elderly in the US alone, contributing to nearly $50B in healthcare costs. Loss of muscle, or sarcopenia, can be delayed or reversed by exercise.²
11-20% of people over 65 experience subjective cognitive decline resulting in >$300B in healthcare costs per year in the US alone. However some people can improve their symptoms with lifestyle modification, which indicates potential for new preventative therapies.³
Complex biologic data necessitates powerful computational approaches to unlock information. Our Coherence platform collects and synthesizes data to produce advanced deep learning models which autonomously drive better decisions at large scale.

Arrive technology unravels complexity. Our Coherence platform delves deeper into in vivo data, capturing key patterns and information beyond existing approaches.


Arrive is a group of passionate experts from diverse fields and backgrounds. Our leadership includes Anuj Gaggar (CEO), Andrew Brack (Head of Biology), and Evan Szu (COO).
Arrive evaluates in-licensing opportunities from discovery through clinical stage assets. Please contact us with non-confidential partnership proposals or inquiries about opportunities.
¹
https://pubmed.ncbi.nlm.nih.gov/28930295/
²
https://pubmed.ncbi.nlm.nih.gov/32840331/
³
https://www.ajmc.com/view/economic-burden-of-alzheimer-disease-and-managed-care-considerations
https://www.nia.nih.gov/health/what-alzheimers-disease
https://www.cdc.gov/mmwr/volumes/67/wr/mm6727a1.htm#T1_down